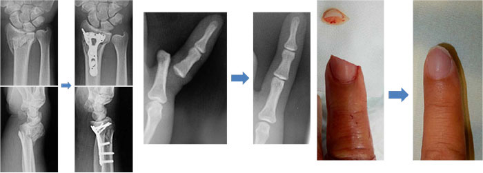
- 骨折を早く治すには?効果的な治療
- 脱臼を早く治すには?効果的な治療
- 腱損傷とは?手や指に起こる
代表的な損傷 - 指が曲げられなくなる
「屈筋腱損傷」とはどんな病気? - 指が伸ばせなくなる
「伸筋腱損傷」とはどんな病気?
骨折を早く治すには?
効果的な治療
骨折をすると、痛みや腫れなどの症状から、日常生活に大きな支障が生じます。
骨折の仕方、部位、年齢などによって異なりますが、痛みが落ち着き、ほぼ普段通りの生活を取り戻すまでには、2~3ヶ月が必要です。ただこの期間は、どのような治療を受けるか、どのように毎日を過ごすかによっても、長くなったり短くなったりします。
では、少しでも早く骨折を治し、日常生活やスポーツへと復帰するため、どのような治療・過ごし方が必要になるのでしょうか。詳しく、ご説明いたします。
正確な診断と固定
まずはレントゲン検査などの画像検査による正確な診断が重要です。これらの画像検査では、骨折した位置、ズレの程度など、骨折の詳細が分かります。
その後、麻酔下に整復をおこない、ギプスによって固定をします。また場合によっては、手術による固定が必要になることもあります。
早期に適切な固定を行うことで、骨のズレを防ぎつつ、早期の癒合が期待できるようになります。
症状や状態に合わせた
リハビリ
固定した後は、早期より、リハビリを開始します。リハビリを開始するタイミングは治癒促進・機能回復のためにとても重要となりますので、医師の指示に従いましょう。
リハビリは、医師の指導のもと、理学療法士/作業療法士と協力して進めていきます。
適切な栄養補給
骨の形成・癒合には、カルシウム、ビタミンD、タンパク質などの栄養素が不可欠です。
できれば食事から、難しいようならサプリメントなども併用しながら、積極的に摂取していきましょう。なお、ビタミンDは日光浴によって体内で合成することも可能です。
禁煙・過度な飲酒の制限
喫煙、過度な飲酒は、骨の治癒を遅らせる原因となります。
治療期間中は禁煙し、お酒も飲み過ぎないようにしましょう。
自宅でできるセルフケア
急性期や痛み・腫れが強く出ている時は、アイシングを行うことで、症状の緩和が期待できます。一方で慢性期は、温めることで血流が良くなり、回復を速めることが期待できます。ただし、冷却も温熱も、過度にならないようにしてください。
その他、先述した栄養面に気をつけながら、禁煙・節酒を心がけましょう。また医師・理学療法士と相談した上で、ご自宅でもリハビリを行っていきましょう。
脱臼を早く治すには?
効果的な治療
脱臼は、関節の骨が、あるべき場所からずれている・外れている状態を指します。
放置していると、再発しやすくなったり、関節の変形を起こしたりすることがあります。
脱臼も、その治療やご自宅での過ごし方によって、回復が早くなったり遅くなったりします。早期治癒のためのポイントをご紹介します。
速やかな整復と固定
脱臼が生じた際には、できる限り早くに医療機関を受診し、骨を正しい位置へと戻す「整復」をすることが大切です。チームドクターなどがいる場合は別ですが、専門家ではない人、あるいはご自身で整復をしようとすると、神経・血管を傷つけるおそれがあるため、必ず医療機関を受診してください。
医師による整復後、関節を固定するため、三角巾、装具、ギプスなどを使用します。
関節周囲の
リハビリテーション
整復・固定後、関節まわりの筋力・柔軟性の低下を防ぐため、段階的にリハビリを行っていきます。
医師の指導のもと、理学療法士と協力しながら、筋力トレーニング・可動域訓練などを行います。リハビリのメニューは医師・理学療法士の指示に従い、自己判断で動かすことはお控えください。
生活環境の見直し
転倒を防ぐためにご自宅に手すりを設置したり、滑りにくいスリッパを使ったりといったことも大切です。
生活環境、また運動時の環境などを見直し、脱臼を繰り返さないようにしましょう。
禁煙・過度な飲酒の制限
禁煙や過度の飲酒は、組織の修復・治癒を遅らせる原因となります。
少なくとも治療期間中は、禁煙・節酒に努めましょう。
自宅でできるセルフケア
急性期・痛みが強い時には、冷却によって症状を軽減することが可能です。慢性期に入ってからは、温めることで血流が良くなり、治癒の促進につながることが期待できます。
ご自宅での筋力トレーニング・可動域訓練を含めた運動は、医師や理学療法士に許可された範囲で行うようにしましょう。
腱損傷とは?手や指に起こる
代表的な損傷
腱損傷とは、筋肉と骨をつなぐ腱が傷ついたり、断裂した状態を指します。
スポーツ中に受けた衝撃、転倒、包丁やガラスによる切り傷など、普段の生活の中でも起こり得るケガの1つです。
よく見られる手・指の腱損傷をご紹介します。
屈筋腱損傷
場所
手のひら側にある、指を曲げる屈筋腱が損傷した状態です。
特徴
指を深く曲げられなくなります。また指の腹側に、痛み・腫れが生じます。
原因としては、包丁やガラスで手のひらを切る事故がよく見られます。
伸筋腱損傷
場所
手の甲側にある、指を伸ばす伸筋腱が損傷した状態です。
特徴
指を真っすぐ伸ばせなくなる、曲がったまま動かせなくなるといった症状が見られます。
原因としては、スポーツ中の衝突、転倒などが主に挙げられます。
指が曲げられなくなる
「屈筋腱損傷」とは
どんな病気?
屈筋腱損傷とは

手のひら側にあり、指を曲げる機能を担う屈筋腱が、傷ついたり断裂したりした状態です。
損傷の程度によっては、自力で指を曲げることができなくなります。早期の診断・治療が大切です。
屈筋腱損傷の主な症状
主に、以下のような症状が見られます。
- 自力で指を曲げられない
- 指、手のひらの痛み・腫れ
- 切り傷などの外傷後に、指が動きづらくなった
- 押した時の痛み
屈筋腱損傷の原因
原因としては、以下のようなものが挙げられます。
外傷(切創・裂創)
包丁などの刃物、ガラスによって切創(切り傷)を負った際に、腱が損傷するケースがよく見られます。また、鈍的な外力によって裂創(開放性の傷)が原因になることもあります。
特に傷が深い時には、傷口が小さくても、必ず受診してください。
スポーツや作業中のけが
スポーツ中や作業中に、強い力によって腱が引っ張られ、損傷することがあります。
変性や加齢による脆弱化
年齢を重ねると、腱も脆弱化します。すると、わずかな外力であっても、屈筋腱が損傷してしまうことがあります。
屈筋腱損傷の治療
腱を縫合・修復する手術が基本となります。手術後は、腱の再断裂や筋力の低下を防ぐため、また機能回復のため、リハビリテーションを行います。
腱の損傷の程度がごく軽い場合、お身体の状態によって手術ができない場合には、保存療法が選択されることもあります。
指が伸ばせなくなる
「伸筋腱損傷」とは
どんな病気?
伸筋腱損傷とは
手の甲側にあり、指や手首を伸ばす役割を担う「伸筋腱」が傷ついたり断裂したりした状態です。
損傷の程度によっては、自力で指や手首を伸ばすことが難しくなります。
伸筋腱損傷の主な症状
主に、以下のような症状が見られます。
- 指、手首を伸ばせない
- 手の甲側の痛み、腫れ
- 切り傷などの外傷後に、指を伸ばしにくくなった
- 押した時の痛み
伸筋腱損傷の原因
原因としては、以下のようなものが挙げられます。
外傷(切創・裂創)
刃物、ガラスなどによって手の甲側に切創(切り傷)を負った時、腱が傷つくことがあります。また、鈍的外力によって、伸筋腱が損傷することもあります。
傷が深い時には、たとえ傷口が小さくても、受診してください。
スポーツや転倒などのけが
スポーツ中に受けた衝撃、転倒などによって、伸筋腱が損傷することがあります。
加齢や変性
年齢を重ねると、腱が弱くなるため、わずかな外力で、伸筋腱が損傷することがあります。
伸筋腱損傷の治療
伸筋腱が完全に断裂している場合には、手術を行います。手術後は、再断裂や筋力低下を防ぐため、また早期の機能回復を図るため、リハビリテーションを行います。
断裂に至っていない場合には、装具を用いた固定などに留めることがあります。その場合も、リハビリテーションは必須です。




